La photographie dans la profession
L'importance de la photographie
La photo dentaire parait simple , c'est ce que je me disais au début de ma carrière.
Une dent prise au smartphone pourrait convenir pour se donner une idée générale , mais il manquera des détails .
Et justement , pour nous permettre d'imiter la nature , ce sont les détails qui comptent .
Pour retranscrire au mieux la réalité nous ne pouvons nous contenter d'une photo compressée au format jpeg.
Toutes mes photos sont prises au format RAW sans flash.
L'utilisation d'un flash donne une photo plate ,sans relief , alors que nous avons besoin de voir la texture des dents .
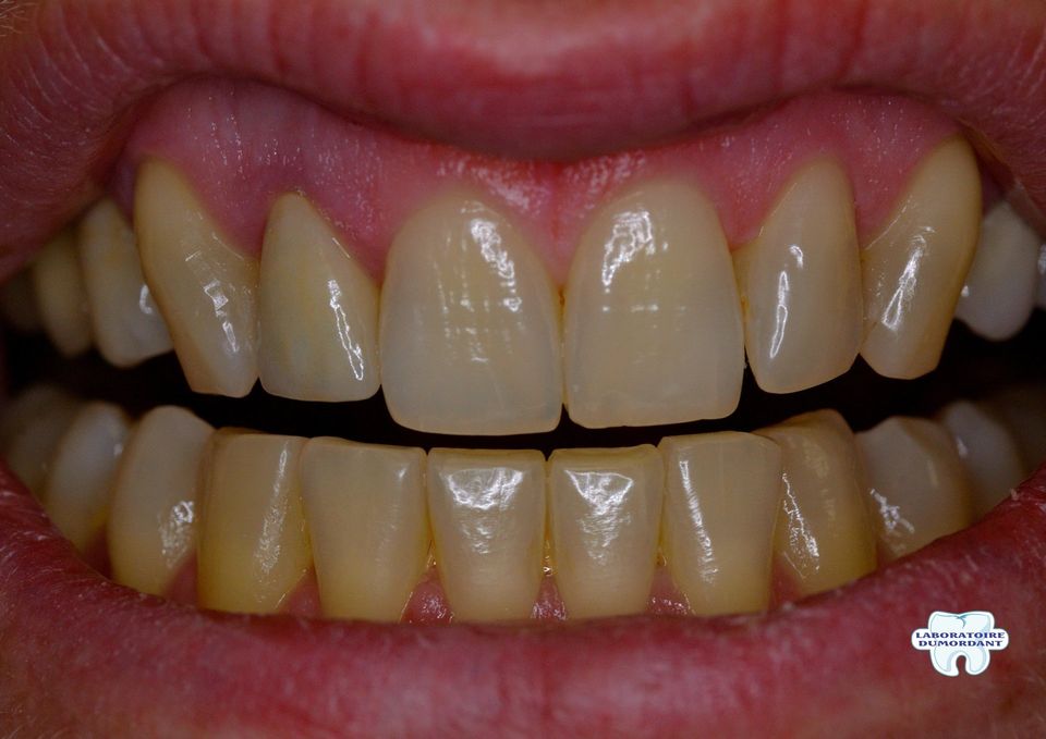
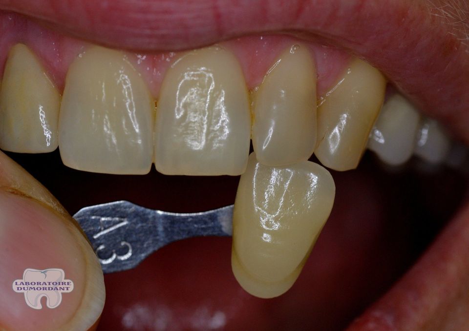
La prise de teinte en macro 1:1
Lors de cette prise de teinte , nous voyons clairement une différence de l'état de surface du teintier et de la dent du patient .
Pourtant rien ne se voit a l’œil nu .
La photo nous permet de regarder et d'analyser tranquillement tous les détails , afin de mieux reproduire la nature .
Mais certains détails nous échappent...
La macrophotographie prend tout son sens
Si l'éclairage à led annulaire nous a permis de progresser dans notre profession , les bi-leds transversaux nous permettent de démasquer les vrais détails , et de réaliser des travaux prothétiques très élaborés .
Ainsi toujours sur le même patient , nous pouvons voir de nombreuses fêlures , qui étaient pourtant invisibles sur les deux précédentes photos .
L'observation n'était donc pas complète.








